- январь 15, 2026

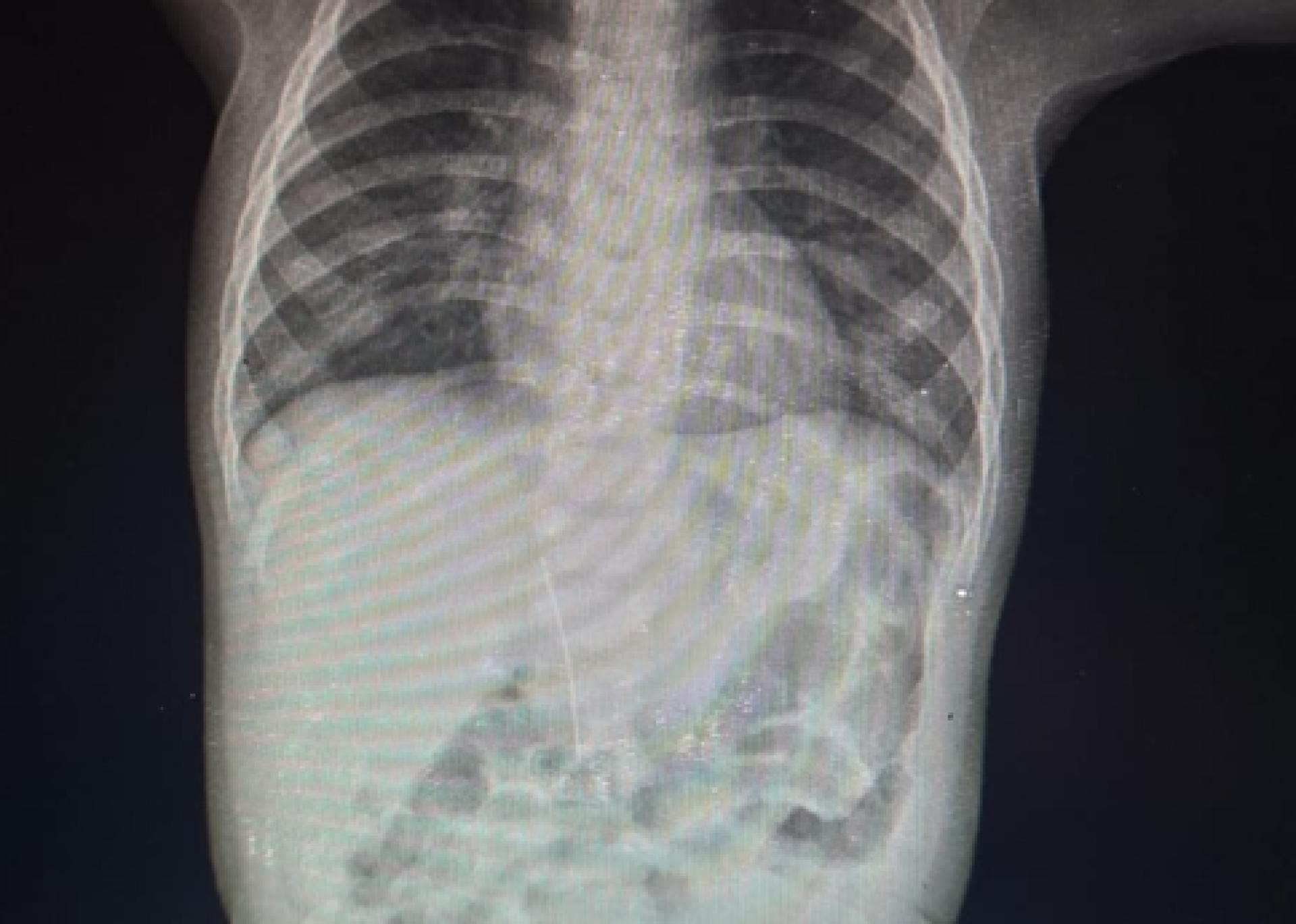
В Туркестанской области врачи обнаружили иглу в теле 8-месячного ребёнка, который был госпитализирован с подозрением на краснуху. При проведении рентгенологического исследования в брюшной полости малыша была выявлена инородная игла, что стало причиной его беспокойства и повышения температуры.
Как выяснили медики, игла не попала в организм через пищеварительный тракт, а проникла со стороны печени. Мать ребёнка отметила, что малыш не мог самостоятельно проглотить её.

Фото предоставлено управлением здравоохранения региона.
Врачи из Туркестанской городской центральной больницы и Туркестанской детской городской больницы провели экстренную операцию и все необходимые лечебные мероприятия. В настоящее время состояние ребёнка улучшается.
Это не первый случай, когда инородные тела были обнаружены у детей в регионе. Ранее в детскую клиническую больницу Шымкента был доставлен 3-летний ребёнок с сильными болями в животе, у которого медики обнаружили 16 проглоченных магнитов. После обследований была проведена экстренная операция, в ходе которой инородные тела были полностью удалены с помощью эндоскопического грассера.